Yeast Nucleotides for Gut Health and Growth Promotion
Description
YeaNucleo is a concentrated nucleotides or its precursor product derived from Saccharomyces cerevisiae. It can supplement the deficiency of nucleotide synthesis in animals during stress or rapid growth. Also, it can strengthen palatability, improve intestinal health, promote development, immunity and growth.
Efficacy
Improve growth performance
Nucleotides can be used as the second messenger protein kinase of hormones, enhance the metabolic enzyme activity of the body, induce the synthesis of growth hormone and related enzymes, and then promote the synthesis of protein in the body and increase the body weight.
Improve intestine development and gut health
Nucleotides promote the growth and development of the gastrointestinal tract and increase the surface area of the gastrointestinal tract and the villi length of the gastrointestinal tract, and improve the activity of gut-related enzymes in the pericyte cell layer of the gastrointestinal villi, affect the type and abundance of the gut microbes.
Improve immunity, enhance disease resistance
When the animal body produces immune stress, the body's endogenous nucleotide synthesis cannot meet the requirements of the immune cells. Nucleotide supplementation in the feed can enhance the non-specific and specific immunity of the body by increasing the number of macrophages, lymphocyte activity, and immunoglobulin production. In addition, by adding nucleotides, the resistance of fish to various pathogens such as bacterial pathogens, toxin-filtering pathogens and parasitic pathogens can be enhanced.
Application Trails
Improve feed intake and growth performance

Table 1 Effects of YeaNucleo on growth performance of juvenile Litopenaeus vannamei
Note: Animal: 720 shrimp were randomly divided into 6 groups with 3 replicates in each group, 40 prawns in each replicate. Experiment period last 7 weeks.
The data shoulder with different lowercase letters indicated significant difference (P<0.05).

Table 2 Effects of YeaNucleo on growth performance of juvenile turbot (Scophthalmus maximus L.)
Note: Animal: 1680 juvenile turbot were randomly divided into 7 groups with 8 replicates in each group, 30 in each replicate. Experiment period last 60 days.
The data shoulder with different lowercase letters indicated significant difference (P<0.05).

Figure 1 Effects of YeaNucleo on growth performance of juvenile turbot
(Scophthalmus maximus L.) in low fish meal diets.
Note: Animal: 270 juvenile turbot (Initial BW 9.46±0.01g) were randomly divided into 3 groups with 3 replicates in each group, 30 in each replicate. Experiment period last 10 weeks.
Control: diet with 30% fish meal and 12 soybean meal;
SB: diet with 20% fish meal and 20 soybean meal;
SBN: SB+300mg/kg nucleotides.
Improve intestine development

Table 3 Effects of YeaNucleo on distal-intestine development of juvenile turbot
(Scophthalmus maximus L.)

Note: Animal: 1680 juvenile turbot were randomly divided into 7 groups with 8 replicates in each group, 30 in each replicate. Experiment period last 60 days.
The data shoulder with different lowercase letters indicated significant difference (P<0.05).

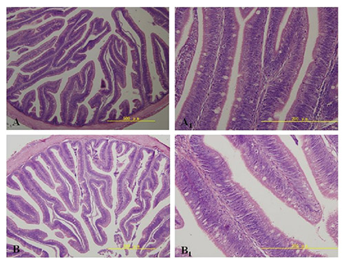
Figure 2 Intestinal fold heights in different regions of the intestinal tract of salmon
fed the control or YeaNucleo
Note: Animal: 300 similar-sized (mean initial weight 205 g) Atlantic salmon, were randomly allocated to 6×1 m tanks with 50 fish per tank (2×3 replicates) for 10 weeks. Nucleotide diet group extra added 300mg/kg nucleotides compared with control diet.
The“*” indicated significant difference (P<0.05).
Enhance immunity and antioxidant capacity

Table 4 Effects of YeaNucleo on Serum immunity and antioxidant of
Lateolabrax japonicas in low fish meal diet
Note: Animal: 160 Lateolabrax japonicas were randomly divided into 2 groups with 4 replicates in each group, 20 in each replicate. Experiment period last 56 days. Nucleotides Group extra added 400mg/kg mix nucleotides.
The data shoulder with different lowercase letters indicated significant difference (P<0.05).


Figure3 Effects of YeaNucleo on antioxidant of juvenile Litopenaeus vannamei
Note: Animal: 720 shrimp were randomly divided into 6 groups with 3 replicates in each group, 40 prawns in each replicate. Experiment period last 7 weeks.

Figure 4 Cumulative mortalities due to infectious salmon anaemia (ISA) virus in groups of Atlantic salmon fed prior to challenge-exposure the control (roundness) or nucleotide (triangle) diet.
Note: Animal: 600 similar-sized (53~55 g) Atlantic salmon, were randomly allocated to 6 m tanks with 100 fish per tank (2×3 replicates) for 53d, and 60 similarly sized fish were injected intraperitoneally Ip with ISA virus. Nucleotide diet group extra added 300mg/kg nucleotides compared with control diet. The “*” indicated significant difference (P<0.05).
Dosage
300-800 g/ton of feed